新聞熱線:0855-8222000

仙居4小伙生吃螃蟹
全部中招
近日,28歲的仙居小伙子駱某(化名)帶著自己的好兄弟張某(化名)找到浙江大學醫學院附屬第一醫院感染病科副主任、中華醫學會寄生蟲病診治學組組長黃建榮主任醫師,主動說他倆很有可能得了肺吸蟲病。
原來,不久前,駱某與張某其他三個兒時就玩在一塊的朋友相約周末郊游仙居,四人見到一溪灘,就想重溫兒時時光,紛紛下到小溪里一起打鬧,到處翻石頭抓小螃蟹。抓了七八只螃蟹后,其中一個小伙突然提議,這里溪水清澈,沒有污染,這些小螃蟹肯定鮮得很,于是四個人坐在溪邊,把螃蟹分了,扯掉螃蟹腳和螃蟹殼生吃了下去,“果真鮮嫩!”四個人吃完還意猶未盡。

沒過幾天,除了駱某和張某,另外兩個小伙開始發熱、咳嗽、肚子痛,到仙居當地醫院當腸胃炎治療了幾天后還是沒好轉,后經寄生蟲檢測后為肺吸蟲感染。
什么事情都沒有的駱某和張某得知其他兩位朋友因為拉肚子進醫院還被查出有蟲子,還開玩笑地說他們抵抗力真弱。結果沒過幾天,駱某和張某也陸續出現了反復發熱、腹痛、咳嗽、拉肚子癥狀,有了朋友的就醫經歷,駱某和張某暗想自己肯定也中招了!
“去浙大一院感染病科找專家!”于是,駱某與張某兩個“難兄難弟”出現在了浙大一院感染病科,并且“自招”得了肺吸蟲病,于是黃建榮以懷疑寄生蟲感染收治了駱某與張某。

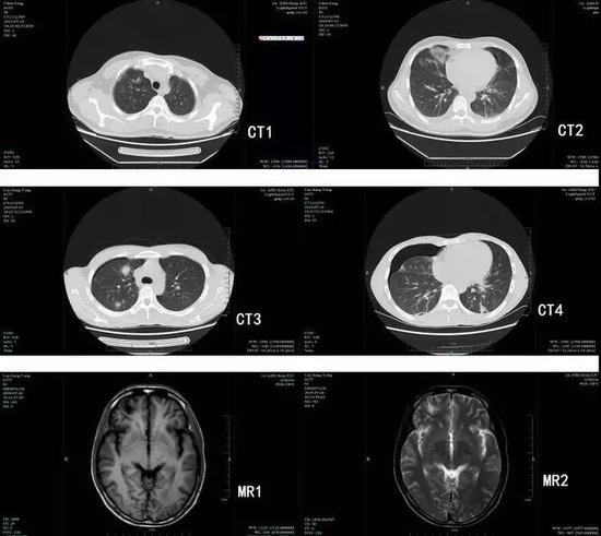
肺吸蟲感染后的肺部團塊影和顱內軟化灶
果然,經過寄生蟲檢測,兩人均為衛氏肺吸蟲抗體陽性,均在腹部和肺部發現肺吸蟲,駱某更是在腦子里發現肺吸蟲囊性灶,比較嚴重。幸好兩人發現及時,并且就醫及時,經過藥物治療后康復出院,沒有留下后遺癥。
肺吸蟲的百科全書
蟲卵期:在水里
嬰幼兒期(毛蚴):侵入川卷螺中發育
青少年期(囊蚴):侵入淡水蟹和蝲蛄
成年期(肺吸蟲):寄生在犬、貓、豬和野生動物
肺吸蟲的感染途徑
其實,真正有危害的是囊蚴,就是青少年期的肺吸蟲,人在進食未經煮熟的帶有囊蚴的淡水蟹或蝲蛄,或食用半熟的被囊蚴感染的野生動物肉,或生飲被囊蚴污染的溪水后,囊蚴通過口感染,在胃和十二指腸內囊蚴破裂,幼蟲脫出并穿過腸壁進入腹腔,穿過橫膈入胸腔和肺,在肺內發育為成蟲,還可寄生于多種組織器官,如腦、脊髓、胃腸道、腹腔和皮下組織等,產生相應癥狀,嚴重時會造成不可逆的后遺癥。

人體寄生的肺吸蟲,在國內主要有衛氏肺吸蟲和斯氏肺吸蟲兩種。衛氏肺吸蟲病分布于浙江、臺灣、遼寧、吉林、黑龍江等省。斯氏肺吸蟲病分布于四川、江西、云南、福建、廣東、貴州、陜西等省。
感染肺吸蟲的癥狀
肺吸蟲病是以肺部病變為主的全身性疾病,臨床表現復雜,癥狀輕重與入侵蟲種、受累器官、感染程度、機體反應等多種因素有關。起病多緩慢,肺吸蟲病潛伏期多在6個月左右,也可短至數日或遲至2年。
患者可有低熱、咳嗽、咳爛桃樣痰和血痰、乏力、盜汗、食欲不振、腹痛、腹瀉或蕁麻疹等臨床表現。
按其侵犯的主要器官不同,臨床上可分為4型:胸肺型、腹型、皮膚型、腦型。肺臟為衛氏肺吸蟲最常寄生的部位,斯氏肺吸蟲常引起皮下結節,部分有游走性。
改變生食習慣
遠離肺吸蟲病
看完駱某四兄弟的遭遇,很多人會暗自慶幸還好沒吃過生螃蟹,但注意了!醉蟹也是生食,經過酒泡一下根本就不能殺死肺吸蟲,所以吃醉蟹有感染風險。另外,還有別亂喝看似清澈的溪水,說不定被感染過,也有感染可能性。但也不要害怕,經過高溫煮沸后,肺吸蟲可以被完全殺死。(記者 張苗 通訊員 王蕊 金麗娜)
凡本網注明“來源:黔東南信息港”的所有作品,均為黔東南信息港合法擁有版權或有權使用的作品,未經本網授權不得轉載、摘編或利用其它方式使用上述作品。已經本網授權使用作品的,應在授權范圍內使用,并注明“來源:黔東南信息港”。違反上述聲明者,本網將追究其相關法律責任。
凡本網注明“來源:XXX(非黔東南信息港)”的作品,均轉載自其它媒體,轉載目的在于傳遞更多信息,并不代表本網贊同其觀點和對其真實性負責。