新聞熱線:0855-8222000

貴州醫科大學附屬醫院針對該疑難病例組織多學科討論
走路莫名其妙摔倒,她意識到情況不妙,62 歲的蔣阿姨退休前是一名婦產科醫生。兩個多月前,她出現頭暈、全身酸軟、行走不穩等癥狀。" 一個小坎又不是看不到,怎么會被絆倒?" 老人心中隱約不安。
次日,她又摔了一次。行醫多年,蔣阿姨對 " 身體發出的某種警告信號 " 特別敏感,她立即到貴陽市一醫就診。

患者蔣阿姨
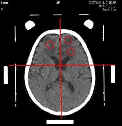
最初,蔣阿姨以為是抑郁、焦慮癥復發,接受住院治療,癥狀不見好轉,院方考慮其兩年前因宮頸癌進行過子宮、卵巢切除術,采取 CT、核磁共振掃描,在其顱內發現多個病灶,涉及左右大腦、小腦等,懷疑宮頸癌顱內轉移。
患者年齡大,曾經有子宮頸癌病史,影像發現中樞神經系統多發性占位性病變 …… 醫生考慮惡性病變,不排除轉移瘤,也認為有淋巴瘤的可能性,但難以確診,經試驗性治療后未見好轉,蔣阿姨轉入貴州醫科大學附屬醫院就診。
轉移瘤?原發瘤?
醫學專家各抒己見
蔣阿姨罹患的究竟是宮頸癌復發導致的腫瘤轉移還是原發性淋巴瘤?兩種病癥治療方案不同,療效也屬于 " 失之毫厘謬以千里 "。為了對病人負責,日前,貴州醫科大學附屬醫院針對該疑難病例組織多學科討論,并邀請貴州省腫瘤醫院、貴陽市一醫相關專家參與。

伍國鋒教授的助手任思穎副教授根據神經影像定位,準備開展腦立體定向技術穿刺病灶進行活檢
" 鑒于患者高齡,顱內發現多個病灶且具備轉移性病灶的特點,加之又有宮頸癌病史,存在重度水腫,構成‘小病灶大水腫’格局,我認為腦轉移瘤的可能性高。" 討論過半,貴醫附院神經外科專家拋出觀點,得到影像學家認可。
但貴醫附院血液科主任王季石教授表示,從正常思維看,該患者的確符合轉移瘤特征,就連所拍的照片、CT 以及核磁共振等等指向性也都非常強," 可這些只是間接真相,直接病理組織細胞學特點才是腫瘤診斷的依據和金標準。"
通過再三思索以及對現有證據的判斷,王季石教授認為該患者具有不典型的中樞神經系統淋巴瘤特征(該病發病率低,占中樞神經系統腫瘤的 1%~3%),不排除罕見病癥的可能性。
隨著討論愈加深入,蔣阿姨罹患疾病的 " 神秘面紗 " 非但沒有被層層剝落,反而更加 " 迷霧森森 "。此時,伍國鋒教授委托貴醫附院病理科高勤博士報告了通過腦立體定向技術穿刺獲得的病灶組織的檢查結果,終于探明真相。
確診!
全球第 5 例罕見原發于顱內的NKT 細胞淋巴瘤
伍國鋒教授、任思穎副主任醫師根據神經影像定位,對蔣阿姨開展腦立體定向技術穿刺病灶進行活檢,在臨床病理科高勤博士、龍義國副教授努力下,最終確認為中樞神經系統 NKT 細胞淋巴瘤,一種極為罕見的原發性腦內惡性腫瘤。

伍國鋒教授根據神經影像定位,準備對蔣阿姨開展腦立體定向技術穿刺病灶進行活檢
現代腦立體定向技術是一種新型診療手段,需將腦立體定向儀戴在病人頭上,由它來形成一個三維空間坐標體系,使腦部結構包括在這個坐標體系內,隨即送病人進行 CT 或核磁共振的掃描,就會得到帶有坐標參數標記的病人顱腦 CT 或核磁共振的圖像,病人顱腦內的各個影像解剖結構都會在這個坐標體系內有一個相應的坐標值,然后通過腦立體定向儀的機械數據來達到該坐標點,從而實現腦立體定向手術診斷治療疾病的目的。
" 目前,腦立體定向儀手術的精準度是在 1 毫米左右,靶向定位非常準確。" 伍國鋒教授表示,手術時找到 " 靶點 ",把穿刺針組件在立體定向儀導向器引導下,經電鉆驅動刺穿顱骨,繼而用探針緩慢送入病灶中心,輕輕抽取可見的腦組織,再將其交由臨床病理科進行多種方法染色,最終確診為中樞神經系統 NKT 細胞淋巴瘤。
"NKT 細胞淋巴瘤是淋巴造血系統的一種惡性腫瘤。" 伍國鋒教授告訴記者,該腫瘤源于鼻腔、消化系統的比較多,但源于中樞神經系統者十分罕見," 目前全世界僅報告 4 例,我院患者是第 5 例。"
治療
化療不敏感,放療有效果
明確病情,蔣阿姨轉入貴州省腫瘤醫院接受治療。

該院淋巴瘤科主任吳濤博士介紹,她的導師是世界著名的淋巴瘤專家,積累了 3000 多例 NKT 的淋巴瘤資料,算是全球最大的 NKT 淋巴瘤數據庫,但都沒有見過顱內 NKT 淋巴瘤," 此次確診的病例,資料非常寶貴。"
中樞神經系統 NKT 細胞淋巴瘤由于十分罕見,國際國內至今還在摸索有效的治療方法。
吳濤博士告訴記者,中樞神經系統 NKT 淋巴瘤對化療不敏感,有效率在 30% 左右,但放療效果可以達到 70% 左右。" 等這一組的放化療結束后,我們將為患者進行復查,看顱內腫瘤被‘消化’的效果。" 她如是說。
此外,伍國鋒教授也表示,將會對該患者病情進行持續追蹤觀察,這為未來診斷和治療該罕見病提供很大幫助。
凡本網注明“來源:黔東南信息港”的所有作品,均為黔東南信息港合法擁有版權或有權使用的作品,未經本網授權不得轉載、摘編或利用其它方式使用上述作品。已經本網授權使用作品的,應在授權范圍內使用,并注明“來源:黔東南信息港”。違反上述聲明者,本網將追究其相關法律責任。
凡本網注明“來源:XXX(非黔東南信息港)”的作品,均轉載自其它媒體,轉載目的在于傳遞更多信息,并不代表本網贊同其觀點和對其真實性負責。