新聞熱線:0855-8222000


遵義市一男子6年前摔了一跤,一塊碎玻璃“住”進他體內長達六年,最近因疼痛才發覺。5月23日,醫生通過手術,從他體內取出這塊距離肺部僅2厘米左右的玻璃。
52歲的鄭發興系遵義市匯川區高坪鎮人,2012年夏天,他與朋友吃宵夜時,不慎摔倒在一堆碎玻璃上。當晚,他就被送往銅仁市的一家醫院,醫生對其背部傷口進行了清創、縫合。據稱,因當時傷口較大,醫生還曾在里面“掏了一陣”。
從銅仁這家醫院出院后,鄭發興感覺身體沒什么異常。不過,從今年起,他總覺得背部有痛感,特別是伸手或做環抱東西的動作時,背部的痛感更加明顯。5月21日,他來到遵義市匯川區人民醫院檢查。
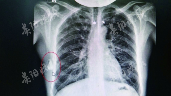
“CT顯示,他背部肩胛骨下方有異物,但并不確定是什么物體。”該院外科執行主任柏帆說,結合鄭發興此前摔傷的病史,醫生懷疑這塊異物應為6年前摔傷留下的。
5月23日,醫院為鄭發興實施了手術,從離他肺部僅2厘米左右的地方,取出了一塊一端非常尖銳的碎玻璃片。
看著碎玻璃片,鄭發興簡直不敢相信自己的眼睛:“6年前給我清理傷口的醫生竟這么粗心大意,在我體內留下了如此大一塊玻璃片。”
據柏帆主任介紹,由于在體內“寄居”多年,這塊玻璃所在位置的肌肉組織已經形成一個自我保護的“小包塊”,讓鄭發興過去幾年沒有明顯痛感,但玻璃片將這個小包塊割破后,鄭發興的背部便有了疼痛。(記者 黃寶華 )
凡本網注明“來源:黔東南信息港”的所有作品,均為黔東南信息港合法擁有版權或有權使用的作品,未經本網授權不得轉載、摘編或利用其它方式使用上述作品。已經本網授權使用作品的,應在授權范圍內使用,并注明“來源:黔東南信息港”。違反上述聲明者,本網將追究其相關法律責任。
凡本網注明“來源:XXX(非黔東南信息港)”的作品,均轉載自其它媒體,轉載目的在于傳遞更多信息,并不代表本網贊同其觀點和對其真實性負責。